Mental Health
-
September 4, 2024
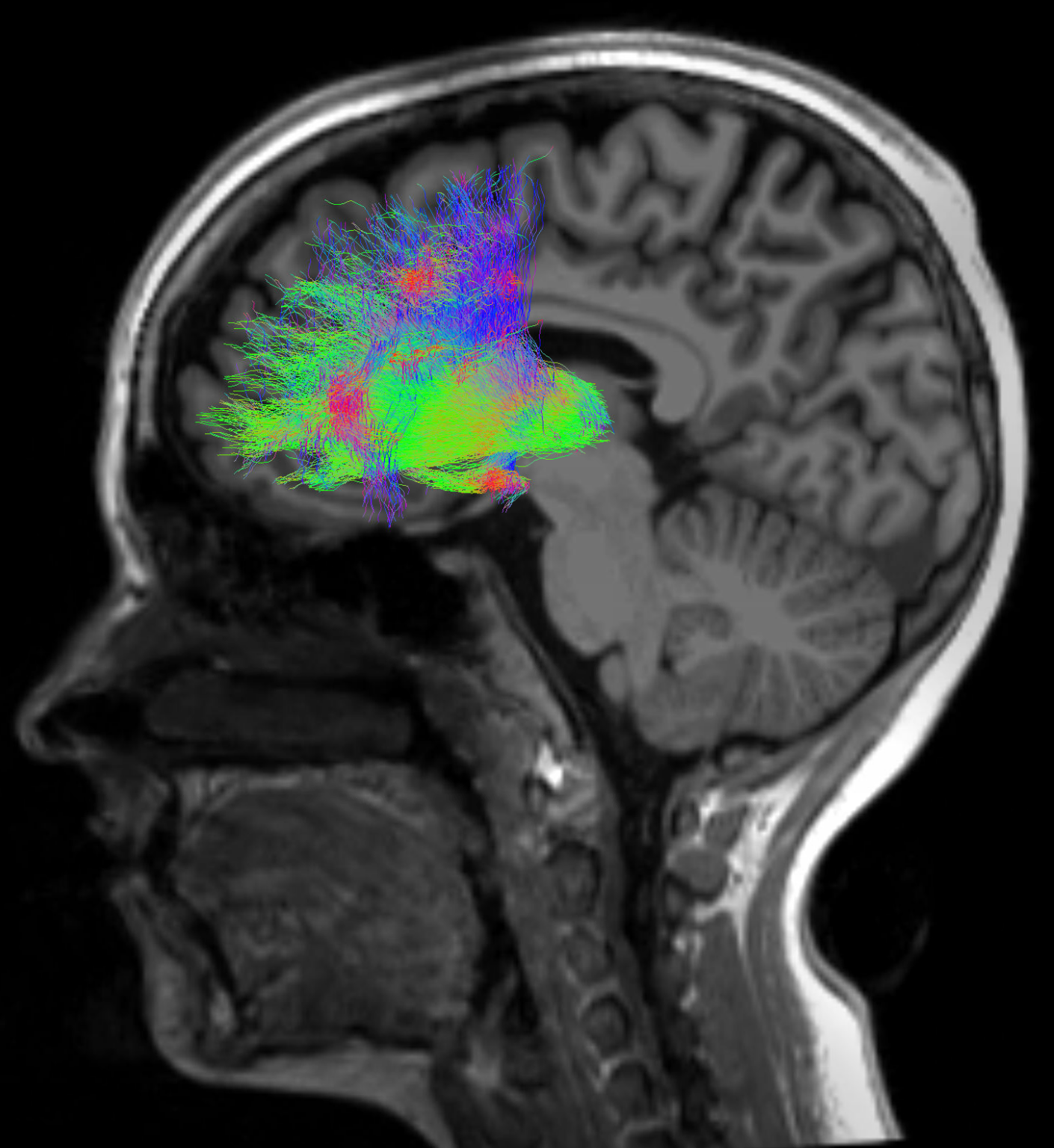
Groundbreaking study links cognition and brain networks before the first psychotic break
Early detection opens the door to intervention via noninvasive neuromodulation for those with treatment-resistant symptoms of psychotic disorders like schizophrenia. -
August 27, 2024
We’re here for you: how to comfort a coworker in grief
How can caregivers be expected to hold the grief of their patients, and their patients’ families, when they are grieving themselves? That was the question addressed at a recent panel discussion at Vanderbilt. -
June 24, 2024
From ‘what happened’ to ‘what now:’ How one VUMC News & Communications writer became part of her own story about the Vanderbilt Health Coaching Program
Danny Bonvissuto set out to write about the Vanderbilt Health Coaching Program. Then the program manager offered to show her how health coaches draw out intrinsic motivation in their clients, aka patients, to get to what Danny dubbed the Next Right Thing. -
May 15, 2024
Treatment-resistant depression linked to body mass index: study
Genetic factors are a small but significant contributor to severe depression that does not respond to standard therapy, according to researchers at Vanderbilt University Medical Center and Massachusetts General Hospital. -
April 9, 2024
Heart disease, depression linked by inflammation: study
Coronary artery disease and major depression may be genetically linked via inflammatory pathways to an increased risk for cardiomyopathy, a degenerative heart muscle disease, researchers at Vanderbilt University Medical Center and Massachusetts General Hospital have found. -
February 27, 2024
Lack of Insurance among Tennessee children remains low, while mental health concerns persist
The latest analysis of the 2024 Tennessee Child Health Poll has found that the proportion of uninsured kids in Tennessee held steady from the 2023 poll, and the rates of mental health diagnoses and associated concerns from Tennessee parents remain high. -
February 8, 2024
New algorithms show promise for predicting bipolar disorder risk
In a new study across three major U.S. health care systems, researchers developed and tested algorithms to predict who will develop bipolar disorder.